Intramucosal carcinoma with submucosal lymphatic invasion—a case series
Introduction
Colorectal cancer (CRC) is the third most commonly diagnosed cancer, and is the second leading cause of cancer death in Australia. The National Bowel Cancer Screening Program was implemented in order to detect CRC earlier, and reduce morbidity and mortality associated with the disease (1). Since the implementation, there is a rise in detection of early CRC, with that the diagnosis of intramucosal carcinoma. Carcinoma in situ (Tis) of intramucosal carcinoma is a term to describe malignant change that is only confined to the colonic or rectal mucosa. Unlike T1 cancer with its access to submucosal lymphatics, intramucosal carcinoma has negligible theoretical risk of lymphatic invasion. In the colorectum, invasion of the submucosa is required to diagnose an invasive carcinoma. This varies from other gastrointestinal tract cancers (i.e., oesophagus, stomach, and small intestine), where a T1 cancer is classified as the presence of mucosal invasion. Cases of lymphatic invasion are a rarity in intramucosal colorectal carcinoma. We performed thin sections of tissue blocks of the specimens to confirm the findings of intramucosal carcinoma without any breech of muscularis mucosae and identification of colonic submucosal lymphatic invasion. We present the following cases in accordance with the CARE reporting checklist (available at http://dx.doi.org/10.21037/dmr-20-146).
Case presentation
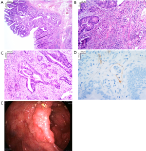
We presented two cases of intramucosal carcinoma with histological evidence of lymphatic invasion. The first patient was a 74-year-old female, who presented with iron deficiency anaemia for investigation, otherwise asymptomatic. Her past medical history included a successful renal transplant 4 years prior, secondary to polycystic kidney; hypertension and hypercholesterolaemia. Initial colonoscopy showed a large lateral spreading adenoma in the caecum, involving the ileocaecal valve. Biopsy of the lesion showed villous adenoma with low-grade dysplasia. Due to the size of the lesion, she proceeded to a laparoscopic right hemicolectomy. Her postoperative course was uncomplicated, and she went home day 6 after the surgery. The final histopathology revealed a 65 mm × 22 mm × 12 mm intramucosal carcinoma of the colon with invasion of superficial submucosal lymphatics, with clear margins (Figure 1)—three sections of the specimen confirmed the findings. The slides were reviewed again by another pathologist and presented at our multidisciplinary meeting. There were 13 lymph nodes found, and all were negative for malignancy.
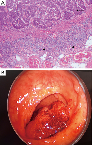
Second patient is a 68-year-old male, who presented with a positive faecal occult blood test. His medical history included previous prostatectomy for prostate cancer, right nephrectomy for renal cell carcinoma, and more recently discovered metastatic bone disease from his prostate cancer. The follow-up colonoscopy showed a 15-mm, Paris 1s polyp, 25 cm from the anal verge. This polyp was removed with a saline lift polypectomy. The final histopathology revealed a 20-mm intramucosal carcinoma with focal submucosal lymphatic invasion (Figure 2). The low power view of Figure 2C did not show any breech of the muscularis mucosa confirming intramucosal invasion. The polypectomy had clear deep and radial margins. The patient has been under close surveillance, with interval colonoscopy. Both patients were happy with the outcome of the treatment.
All procedures performed in studies involving human participants were in accordance with the ethical standards of the institutional and/or national research committee(s) and with the Helsinki Declaration (as revised in 2013). Written informed consent was obtained from the patients.
Discussion
Current understanding on risk of regional lymph node spread has placed depth of invasion as the highest risk factor, on top of other histopathological risk factors, i.e., poor differentiation, width of tumour invasion, and lymphatic or vascular invasion (2,3). Risk of regional lymph node metastasis has been well described in the study of malignant polyp by Haggit et al., who postulated that increasing depth of invasion beyond the polyp stalk into the submucosal is a poor prognostic factor (2). Kikuchi et al. also postulated a similar theory, but on sessile polyps and how their risk of lymph node invasion can vary between 2–23% depending on the depth of submucosal invasion (3).
The current American Joint Committee on Cancer (AJCC) consensus described true intramucosal carcinoma of the colon as lacking the potential for metastasis (4). However, the issue of potential incomplete sampling may understage the disease by missing focal invasion beyond the muscularis mucosae. Literature on the risk of lymph node and distant metastasis disease in intramucosal carcinoma is lacking. The old dogma that colonic intramucosal carcinoma has no chance of metastasis and does not need further radical resection, should be challenged. Studies on neoplastic and inflammatory conditions have shown the presence of lymphatic channels spreading to the colonic mucosa by using immunohistochemical marker D2-40 (5,6). A more recent study has looked into the lymphovascular microanatomy of colonic mucosa in a 3D model that showed lymphatic invasion even in malignant change that is only confined to the mucosa (7).
The clinical significance of this finding has impact on how we should manage and monitor early CRC. There is still a lack of depth in the current body of knowledge on the risk of lymph node and distant metastasis for the early CRC. Now that we are seeing these malignant polyps earlier, there may be a need to screen for lymphatic invasion better. Recent advances in local treatment of large polyps, i.e., endoscopic mucosal resection, endoscopic submucosal dissection, or transanal endoscopic microsurgery, there has been a growing acceptance in its use as a local treatment for CRC, without definitive resection. With intramucosal carcinoma not having a negligible risk of lymph node metastasis, we suggest further characterising this tumour with other prognostic markers before recommending local treatment for this early-stage disease.
Acknowledgments
Funding: None.
Footnote
Provenance and Peer Review: This article was commissioned by the Guest Editor (Eva Segelov) for the series “Colorectal Cancer” published in Digestive Medicine Research. The article has undergone external peer review.
Reporting Checklist: The authors have completed the CARE reporting checklist. Available at http://dx.doi.org/10.21037/dmr-20-146
Conflicts of Interest: All authors have completed the ICMJE uniform disclosure form (available at http://dx.doi.org/10.21037/dmr-20-146). The series “Colorectal Cancer” was commissioned by the editorial office without any funding or sponsorship. The authors have no other conflicts of interest to declare.
Ethical Statement: The authors are accountable for all aspects of the work in ensuring that questions related to the accuracy or integrity of any part of the work are appropriately investigated and resolved. All procedures performed in studies involving human participants were in accordance with the ethical standards of the institutional and/or national research committee(s) and with the Helsinki Declaration (as revised in 2013). Written informed consent was obtained from the patients.
Open Access Statement: This is an Open Access article distributed in accordance with the Creative Commons Attribution-NonCommercial-NoDeri 4.0 International License (CC BY-NC-ND 4.0), which permits the non-commercial replication and distribution of the article with the strict proviso that no changes or edits are made and the original work is properly cited (including links to both the formal publication through the relevant DOI and the license). See: https://creativecommons.org/licenses/by-nc-nd/4.0/.
References
- Australian Institute of Health and Welfare. Analysis of colorectal cancer outcomes for the Australian National Bowel Cancer Screening Program. Asia Pac J Clin Oncol 2016;12:22-32. [Crossref] [PubMed]
- Haggitt RC, Glotzbach RE, Soffer EE, et al. Prognostic factors in colorectal carcinomas arising in adenomas: implications for lesions removed by endoscopic polypectomy. Gastroenterology 1985;89:328-36. [Crossref] [PubMed]
- Kikuchi R, Takano M, Takagi K, et al. Management of early invasive colorectal cancer. Risk of recurrence and clinical guidelines. Dis Colon Rectum 1995;38:1286-95. [Crossref] [PubMed]
- Amin MB, Edge S, Greene F, et al. editors. AJCC Cancer Staging Manual. 8th edition. Springer International Publishing, 2017.
- Fogt F, Zimmerman RL, Ross HM, et al. Identification of lymphatic vessels in malignant, adenomatous and normal colonic mucosa using the novel immunostain D2-40. Oncol Rep 2004;11:47-50. [Crossref] [PubMed]
- Kenney BC, Jain D. Identification of lymphatics within the colonic lamina propria in inflammation and neoplasia using the monoclonal antibody D2-40. Yale J Biol Med 2008;81:103-13. [PubMed]
- Brown PJ, Toh EW, Smith KJ, et al. New insights into the lymphovascular microanatomy of the colon and the risk of metastases in pT1 colorectal cancer obtained with quantitative methods and three-dimensional digital reconstruction. Histopathology 2015;67:167-75. [Crossref] [PubMed]
Cite this article as: Suhardja TS, Lim JT, Laurie R, Kelman A, Nguyen TC, Teoh WM, Chouhan H. Intramucosal carcinoma with submucosal lymphatic invasion—a case series. Dig Med Res 2020;3:69.

